Dr. med. dent. Beate Scheuner | Zahnärztin

Ihre Zahnarztpraxis in der
Frohen Zukunft für die
ganze Familie
Herzlichen
Willkommen
SPRECHZEITEN
Montag-Freitag
8-12 Uhr
Montag, Dienstag, Donnerstag
14-18 Uhr
Und nach Vereinbarung
Telefon: 0345/5227513
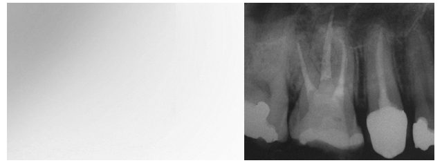
WURZELKANALBEHANDLUNG (ENDODONTIE)
Das Weichgewebe eines Zahnes besteht aus Nervenfasern, Blut- und Lymphgefäßen und wird als Pulpa bezeichnet. Durch verschiedene
Prozesse, wie zum Beispiel tiefe Karies, Traumata oder durch besonders
tiefe Zahnfleischtaschen können Bakterien in die Pulpa eindringen und dort eine Entzündungsreaktion hervorrufen (Pulpitis).
Als Folge der Entzündungsreaktion kann der Zahn schmerzempfindlich reagieren. Wird die Entzündung nicht behandelt, zerstören die Bakterien
die gesamte Pulpa und können im weiteren Verlauf in den Kieferknochen eindringen und dort zu Knochenabbau und eitrigen Entzündungen (Abszessen) führen.
Die Durchführung einer Wurzelkanalbehandlung ist in diesem Fall für den infizierten Zahn die einzige Möglichkeit des Erhalts.
Behandlungsablauf bei einer Wurzelkanalbehandlung
Bei einer Wurzelkanalbehandlung wird das Gefäß-Nervenbündel (Pulpa) des Zahnes vollständig entfernt. Die Wurzelkanäle werden durch Spüllösungen desinfiziert und mit speziellen Wurzelkanalinstrumenten aufbereitet. Die Anzahl der Wurzelkanäle ist je nach Zahn unterschiedlich.
Die Wurzelkanalbehandlung findet ihren Abschluss mit dem Einbringen einer den Wurzelkanal vollständig ausfüllenden, bakteriendichten Wurzelfüllung.
Der Zahn muss im Anschluss mit Zahnersatz, wie zum Beispiel einer Krone oder einer Teilkrone, versorgt werden.
Ein wurzelkanalbehandelter Zahn ist nicht mehr empfindlich auf Wärme- oder Kältereize, die Taktilität bleibt jedoch erhalten.
Unser erfahrenes Team nutzt modernste medizinische Geräte und arbeitet nach den neuesten wissenschaftlichen Erkenntnissen.